Trained radiographers may be a solution for the radiologist shortage
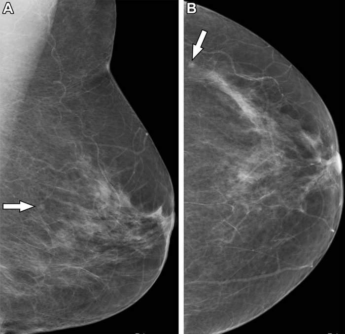
IMAGE: MAMMOGRAMS IN A 50-YEAR-OLD WOMAN UNDERGOING HER FIRST SCREENING MAMMOGRAPHIC EXAMINATION. A 3-MM MASS (ARROW) IS DEMONSTRATED IN THE LEFT BREAST ON THE (A) MEDIOLATERAL OBLIQUE AND THE (B) CRANIOCAUDAL VIEW. IT WAS NOT RECALLED BY THE RADIOLOGIST WHO READ THE MAMMOGRAM FIRST BUT WAS RECALLED BY THE RADIOGRAPHER WHO READ THE IMAGE SECOND. BECAUSE THE OPINIONS WERE DISCORDANT, THE CASE WAS RECALLED FOR FURTHER ASSESSMENT AFTER ARBITRATION BY A THIRD READER. US-GUIDED BIOPSY DEMONSTRATED A 3-MM HISTOLOGIC GRADE 1 DUCTAL CARCINOMA. view more
CREDIT: RADIOLOGICAL SOCIETY OF NORTH AMERICA
OAK BROOK, Ill. – When double reading screening mammograms, radiographers (technologists) trained for the task perform as well as radiologists in key areas, according to a study published in Radiology, a journal of the Radiological Society of North America (RSNA).
Double reading, the process of interpreting a radiological image with two or more sets of eyes, is the standard of care throughout Europe and it has been shown to improve cancer detection rates while simultaneously keeping recall rates low. The National Health Service Breast Screening Program (NHSBSP) in the United Kingdom (U.K.) has over 80 screening centers in England, where over 2 million women are screened annually.
To mitigate the strains put on the healthcare system due to increased workload and radiologist shortages, the NHSBSP has been utilizing non-radiologists as part of double reading since the 1990s. While the traditional role of radiographers is to perform the mammogram, the NHSBSP recruits radiographers who undergo extensive additional postgraduate training to interpret the mammograms. They also participate in the same quality assurance standards as radiologists.
“With the production of reliable individual reader performance data in recent years, it has been possible to produce a robust comparison of the performance of our radiologist and non-radiologist readers in England,” said study lead author Yan Chen, Ph.D., associate professor of cancer screening at the University of Nottingham School of Medicine in the U.K.
For this study, researchers analyzed a year’s worth of performance data collected from 224 radiologists and 177 radiographers from the NHSBSP. Readers who also took part in the External Quality Assurance (EQA) scheme known as the Personal Performance in Mammographic Screening (PERFORMS) were eligible for this study, and they also gave consent for their individual real-life breast screening performance data to be accessed from the Breast Screening Information System.
Performance metrics that were analyzed were cancer detection rate, recall rate—the percentage of patients called back for follow-up testing—and positive predictive value of recall based on biopsy-proven pathological findings. Positive predictive value reflects the percentage of cancers found among exams for which biopsy was recommended or performed.
Each metric was analyzed according to the reader profession, years of experience and any interaction between them using analysis of variance. Analysis of variance is a statistical formula used to compare variances across the means (or average) of different groups.
Researchers found no significant difference in the performance of readers from either professional group. The cancer detection rate for radiologists was 7.84 per 1,000 examinations, while the cancer detection rate for radiographers was 7.53 per 1,000 examinations. Additionally, the average recall rate for radiologists and radiographers was 5% and 5.2%, respectively. The final performance metric, positive predictive value of recall, also showed no variation. The positive predictive value of recall was 17.1% for radiologists and 16.1% for radiographers.
“It has been really gratifying to show that there was little difference in the performance of readers from either professional group when we looked at the key breast cancer screening performance metrics of cancer detection rates, recall rates and positive predictive value of recall,” said coauthor Jonathan J. James, FRCR, consultant radiologist and director of education and training at the Nottingham Breast Institute at Nottingham University Hospitals NHS Trust.
The results of this study also showed that reading performance was based on the years of experience of the readers. This suggests that appropriate focused training, participation in EQA schemes like PERFORMS, and experience are all factors that contribute to the performance of a reader, rather than simply having a medical degree and the broad radiology education undertaken by all radiologists.
“Many countries are experiencing a shortage of radiologists, and this is compounded by increasing demands and growing screening backlogs,” Dr. Chen said. “The outcomes of this study may lead screening programs in other countries to consider the use of physician extenders in breast imaging.”
“Performance of Radiologists and Radiographers in Double Reading Mammograms: The UK National Health Service Breast Screening Program.” Collaborating with Drs. Chen and James were Eleni Michalopoulou, M.Sc., Iain T. Darker, Ph.D., and Jacquie Jenkins, M.Sc.
Radiology is edited by David A. Bluemke, M.D., Ph.D., University of Wisconsin School of Medicine and Public Health, Madison, Wisconsin, and owned and published by the Radiological Society of North America, Inc. (https://pubs.rsna.org/journal/radiology)
RSNA is an association of radiologists, radiation oncologists, medical physicists and related scientists promoting excellence in patient care and health care delivery through education, research and technologic innovation. The Society is based in Oak Brook, Illinois. (RSNA.org)
For patient-friendly information on breast imaging, visit RadiologyInfo.org.
JOURNAL
Radiology
SUBJECT OF RESEARCH
People
ARTICLE TITLE
Performance of Radiologists and Radiographers in Double Reading Mammograms: The UK National Health Service Breast Screening Program
ARTICLE PUBLICATION DATE
13-Sep-2022
No comments:
Post a Comment