What links cannabis use and psychosis? Researchers point to the brain’s dopamine system
‘Our findings could help doctors and mental health professionals better educate patients about the potential risks of frequent cannabis use’
McGill University
A McGill University-led study found that people with cannabis use disorder (CUD) had elevated dopamine levels in a brain region associated with psychosis.
“This could help explain why cannabis use increases the risk of hallucinations and delusions, key symptoms of schizophrenia and other psychotic disorders,” said first author Jessica Ahrens, a PhD student in McGill’s Integrated Program in Neuroscience.
Dopamine is a neurotransmitter that helps regulate mood and motivation, and an excess is associated with psychosis. While it was known that cannabis influences dopamine, this study clarifies where in the brain these changes occur. Cannabis use disorder is when someone has trouble controlling their cannabis use, continues despite negative effects, and may experience cravings or withdrawal.
“For a long time, clinical researchers across the world have been searching for a link showing that cannabis affects the brain mechanism behind psychosis. We now show that a shared dopamine pathway could be the answer,” Ahrens said.
The study involved 61 people, including those with and without cannabis use disorder, as well as individuals with early-stage schizophrenia, some of whom also had CUD. Using a specialized brain scan called neuromelanin-MRI, researchers at Western University measured their neuromelanin signal, which reflects dopamine activity.
People with CUD had an abnormally high neuromelanin signal, and the elevation was tied to the severity of their cannabis use. In contrast, those without schizophrenia or CUD did not show this increase. Larger studies are needed to confirm these findings.
Educating youth about cannabis risks
About one-in-five youth in Canada are cannabis users, consuming it daily or almost daily. Understanding the drug’s impact on mental health remains a pressing question.
“The lack of clear biological evidence linking cannabis to psychosis has made it harder to persuade young people with psychotic symptoms to reduce their use,” said Dr. Lena Palaniyappan, Professor of Psychiatry at McGill and Psychiatrist at the Douglas Mental Health University Institute.
“Our findings could help doctors and mental health professionals better educate patients about the potential risks of frequent cannabis use, especially for those with a family history of psychosis,” he said.
Future research will explore whether long-term cannabis use leads to lasting dopamine changes and whether these effects reverse after quitting.
About the study
“Convergence of Cannabis and Psychosis on the Dopamine System” by Jessica Ahrens, Clifford Cassidy, and Lena Palaniyappan et al., was published in Jama Psychiatry.
The study was supported by the Canadian Institutes of Health Research, the Schizophrenia Society of Canada Foundation, the Canadian Consortium for Early Intervention in Psychosis, the Fonds de Recherche du Québec—Santé, the Quebec Bio-Imaging Network, the Canada First Research Excellence Fund, the Canada Research Chairs program and the Canada Foundation for Innovation.
Journal
JAMA Psychiatry
Method of Research
Observational study
Subject of Research
People
Article Title
Convergence of Cannabis and Psychosis on the Dopamine System
Article Publication Date
9-Apr-2025
New study reveals potential biological link between cannabis use and psychosis
Researchers from London, Ont. discover regular cannabis use is linked to signs of increased dopamine levels in the brain, a key factor in psychosis
University of Western Ontario
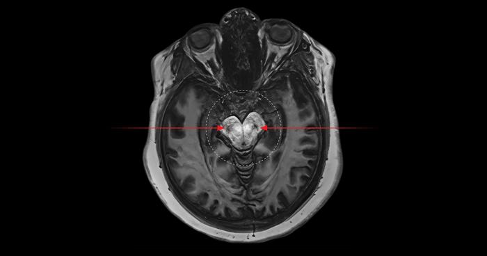
image:
Researchers found those with cannabis use disorder exhibited an increase of neuromelanin (blacker spots) in a particular region of the midbrain associated with psychosis –the substantia nigra and ventral tegmental areas.
view moreCredit: Scan provided by Jessica Ahrens; designed by Rob Potter/Western Communications
Although it's been six years since cannabis was legalized in Canada, further research is needed to fully understand its health effects.
A new study published today in JAMA Psychiatry sheds light on how cannabis use disorder is linked to changes in the brain that are associated with psychosis. Using brain imaging techniques, researchers found individuals with cannabis use disorder, those who were using cannabis on a frequent basis over an extended period of time, exhibited signs of higher levels of dopamine in the same region of the brain that is tied to psychosis. This study was conducted in London, Ont., led by researchers from London Health Sciences Centre Research Institute (LHSCRI) and Western University’s Schulich School of Medicine & Dentistry.
Previous data has shown that in emergency departments across Canada, people have been presenting more often with psychosis after the legalization of cannabis.
“We now have evidence that shows a straight line linking cannabis with dopamine and psychosis that has never been shown before, and it's crucial that clinicians, patients, and families work together to break this line,” said Lena Palaniyappan, adjunct professor at Schulich Medicine & Dentistry, former medical director for LHSC's Prevention and Early Intervention Program for Psychosis (PEPP) and the senior author of the study.
Dopamine is an important neurotransmitter (a chemical messenger in the brain) that helps process motivation, mood, learning and motor control.
“Excess levels of dopamine can disrupt normal brain processes and may increase the risk of psychosis, particularly in individuals who are already vulnerable,” said Betsy Schaefer, co-author of the study at LHSCRI and study coordinator at PEPP.
Using a non-invasive brain imaging technique called neuromelanin-sensitive magnetic resonance imaging, researchers were able to look at a substance called neuromelanin – a black pigment left behind in the brain that accumulates over time if there is too much dopamine. The neuromelanin appears in the scans as black spots, acting as a marker to measure and identify areas with dopamine activity.
“In people partaking in excess cannabis use, those spots are blacker than what they should be for their age compared to healthy individuals. This indicates they have high levels of dopamine, and in some cases are showing pigments someone 10 years older would have,” said Palaniyappan, who is also a professor at McGill University.
Sixty-one participants aged 18- to 35-years-old were involved in this study. Researchers recruited individuals with and without cannabis use disorder, with some in each group also diagnosed with first-episode schizophrenia, who presented to PEPP at LHSC.
"We saw an increase of blacker spots in a particular region of the midbrain associated with psychosis –the substantia nigra and ventral tegmental areas. This increase was seen in those with cannabis use disorder regardless of whether they have first-episode schizophrenia,” said Ali Khan, Schulich Medicine & Dentistry professor and scientist at Robarts Research Institute.
“I think this research really helps to provide evidence, or the smoking gun, of what we're seeing clinically and provides clues as to why exposure to cannabis is causing brain changes linked to psychosis.” - Dr. Julie Richard, psychiatrist and physician lead of PEPP at LHSC.
“In the last several years since legalization, we're seeing adolescents who have two or three brief cannabis-induced episodes of psychosis and then have a much more major episode. So, we're trying to counsel adolescents within that first episode that they're pushing their brain towards a major episode and show them the areas in the brain that are impacted,” said Richard.
Shaefer explained the new research helps clarify the biological mechanisms connecting cannabis use and mental health risks. The findings underscore the need for awareness, especially as cannabis becomes more widely used since legalization. "We hope this study encourages further research and informs public health policies to support safe and informed cannabis use."
“I hope these findings lead patients and health-care providers to better understand the implications and for the health-care providers to give patients resources for options other than cannabis to help them cope,” said first author Jessica Ahrens, PhD candidate at McGill University.
Journal
JAMA Psychiatry
Article Title
Convergence of Cannabis and Psychosis on the Dopamine System
Article Publication
9-Apr-2025
No comments:
Post a Comment