Researchers discover air pollution particles hitching a ride around the body on red blood cells
But wearing a face mask reduces the threat
European Respiratory Society
image:
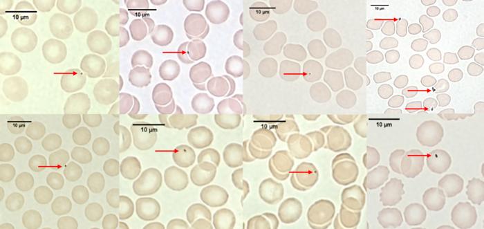
Representative light microscopy images of carbonaceous (black) particles adherent to red blood cells (red arrows) from healthy volunteers. Each image is from a different adult volunteer.
view moreCredit: ERJ Open Research
Researchers have found the first direct evidence that tiny particles of air pollution stick to our red blood cells, meaning they can travel freely around the body.
These particles are produced by vehicle exhausts and from brake and tyre wear, and can easily enter the lungs. They have recently been found in the brain and heart, where they are linked to increased risk of disease. However, until now, there has been no conclusive evidence of how pollution particles infiltrate these parts of the body.
In the new study, which is published in ERJ Open Research [1], researchers found an increase in pollution particles stuck to the red blood cells of healthy volunteers, after they spent time on a busy London road.
The research was by Professor Jonathan Grigg, Dr Norrice Liu and colleagues at Queen Mary University of London, UK.
The study involved 12 adult volunteers. Each volunteer spent four hours in an office building. Then they were asked to spend an hour within ten meters of a busy London road. They each carried a small device called an aethalometer, which measured the amount of particle pollution in the air around them. Then they returned to the office building for another hour.
Eight of the volunteers repeated the experiment on a different day, but this time wearing an FFP2 mask.
Researchers took blood samples from the volunteers after four hours in the office, immediately after their hour by the roadside and again after the hour back in the office. They used microscopes to take detailed photos of the blood samples, allowing them to see and quantify the pollution particles stuck to the red blood cells.
Levels of particle air pollution at the roadside were almost five times higher than in the office building, according to the aethalometers.
When researchers examined the blood samples, they found an increase in the amount of pollution particles stuck to volunteers’ red blood cells after they spent time by the roadside. On average, researchers found two to three times as much of the particle material stuck to people’s red blood cells after an hour by the road.
In some people, the levels decreased after an hour away from the road, while in others the levels remained high, suggesting there could be differences in how people’s bodies deal with the pollution they breathe in.
Although only a small proportion of red blood cells were carrying particles after exposure to roadside air pollution (around two or three out of every thousand), the researchers calculated that in the five litres of blood circulating in the human body, around 80 million red blood cells would be assumed to be transporting particles after standing near a main road for an hour.
When volunteers repeated the experiment wearing an FFP2 face mask, although they were exposed to the same levels of pollution by the roadside, the amount stuck on their red blood cells did not increase after standing by the road. Researchers say this is the first study to show that wearing an FFP2 mask reduces the dose of inhaled pollution particles in humans.
To confirm their findings, the researchers exposed human red blood cells and then mice to diesel exhaust particles in the lab. They found the particles stuck easily to both human and mouse red blood cells, and the more particles they added, the more they found stuck to the blood cells.
They also analysed some of the pollution particles they found on the volunteer’s blood cells and found that they contained iron, copper, silicon, chromium and zinc, which are known to be produced by vehicles exhaust, as well as silver, copper and molybdenum, which are produced by brake and tyre wear. The particles were 2.5 micrometres of smaller in size, corresponding to the PM2.5 measure used to monitor air pollution.
Professor Grigg said: “In our bodies, red blood cells work by collecting oxygen from our lungs and delivering it throughout the body. With this set of experiments, we have shown that tiny air pollution particles are hijacking our red blood cells, meaning they can also travel almost anywhere in the body.
“We’re finding more and more evidence that air pollution particles are making their way into many different organs of the body and now we have clear evidence of how that could be happening.
“This technique means we now have a relatively simple way to measure the amount of pollution entering the body, so now we can test out which factors might increase or reduce the problem. We were surprised to find how well an FFP2 face mask prevents these very tiny particles from reaching and attaching to blood cells.”
Professor Ane Johannessen is chair of the European Respiratory Society’s expert group on epidemiology and environment, based at the University of Bergen, Norway, and was not involved in the research. She said: “These tiny particles are produced by vehicles and industrial processes and released into the air we breathe. This study sheds light on how these dangerous particles might be infiltrating every part of the body via the bloodstream. It also suggests we could lower the risk with the right protective facemask. This could be beneficial for people who are vulnerable because they have a lung disease, or they cannot avoid spending time next to a busy road.
“However, most of us cannot avoid being exposed to dangerously high levels of air pollution in our daily lives, so we need laws to dramatically lower air pollution and reduce the risk for everyone.”
Journal
ERJ Open Research
Method of Research
Experimental study
Subject of Research
People
Article Title
Adherence of traffic-related particles to human red blood cells in vivo’
Article Publication Date
2-Oct-2025
No comments:
Post a Comment