Tuesday, December 02, 2025

FEMICIDE

Intimate partner violence injury patterns linked with suicidal behavior





Radiological Society of North America
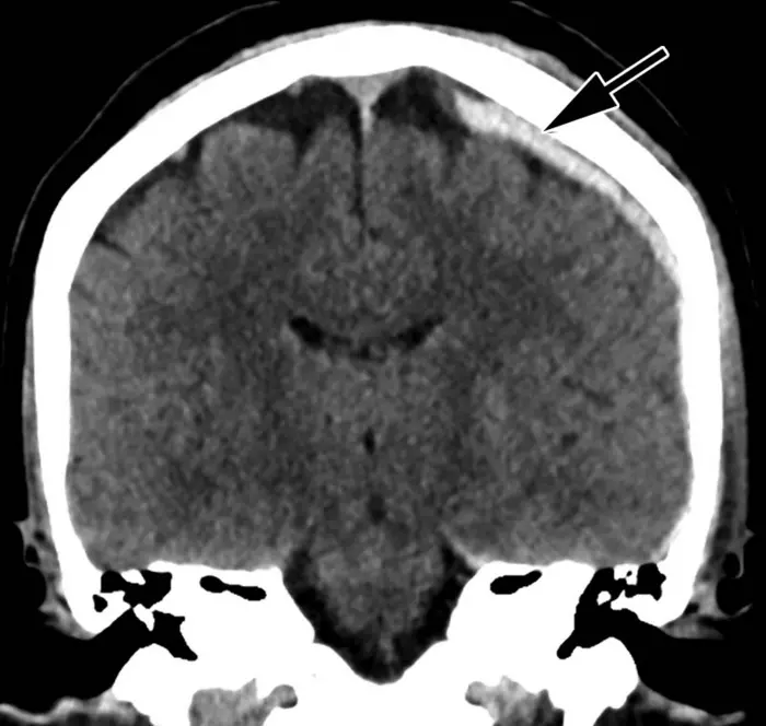
Head CT of intimate partner violence patient 

image: 

Head CT of intimate partner violence patient with left-sided parietal subdural hematoma (arrow).

view more 

Credit: Radiological Society of North America (RSNA)





CHICAGO – Victims of intimate partner violence with suicidal behavior have characteristic injury patterns on medical imaging, according to a new study being presented today at the annual meeting of the Radiological Society of North America (RSNA). The findings open the door to improved screening and earlier intervention to better protect these vulnerable populations, the researchers said.

Intimate partner violence is the physical, emotional or sexual abuse of a person by their partner or spouse. It is an increasingly recognized risk factor for suicidal behavior, and victims of intimate partner violence with suicidal behavior often end up at the hospital years before those without.

Researchers at Massachusetts General Hospital (MGH) and Brigham and Women’s Hospital (BWH) in Boston studied this relationship in 1,451 women who had reported intimate partner violence to the hospital from 2013 to 2018.

“Patients reporting intimate partner violence are at significantly increased risk of suicidal behavior,” said study co-author Emily Y. Yang, B.S., a 4th-year medical student at Harvard Medical School in Boston and a research trainee at the Trauma Imaging Research and Innovation Center (TIRIC) at BWH. “As suicide remains a leading cause of death worldwide, our evidence of distinct and overlapping injury patterns with intimate partner violence is an important step towards improving detection and providing timely intervention.”

Using medical classification codes relevant to suicidal behavior, which were defined as suicide attempt, self-harm and/or suicidal ideation, four study groups were formed: intimate partner violence with suicidal behavior, intimate partner violence without suicidal behavior, suicidal behavior without intimate partner violence, and patients who presented without intimate partner violence or suicidal behavior. The researchers also collected information on the timing and location of when the patient presented, such as day versus night and whether they came to the emergency room (ER) versus non-ER.

Suicidal behavior occurred at a higher frequency among patients reporting intimate partner violence (16.7%) versus patients without a history of intimate partner violence (2.5%). In the study, the majority of patients presented with suicidal behavior after reporting intimate partner violence. Patients with suicidal behavior and history of intimate partner violence were more likely than other patients to present to the hospital during the night versus day and in the ER, versus non-ER settings.

Review of reports by two experienced emergency radiologists revealed that both intimate partner violence and suicidal behavior played independent roles in doubling the overall injury rate compared to that of patients without a history of intimate partner violence or suicidal behavior. Patients with intimate partner violence often sustained head, face, neck and upper limb injuries—areas commonly hurt during assaults.

Intimate partner violence patients with suicidal behavior suffered over six times as many head/face/neck injuries, almost four times as many spinal fractures, three times as many deep injuries, and twice as many upper extremity injuries. These patients experienced almost twice as many severe injuries and three times as many mild injuries.

When looking at independent effects of intimate partner violence versus suicidal behavior, the researchers found that suicidal behavior had a greater impact on the injury rate of upper extremity injuries, while intimate partner violence had a greater impact on head/face/neck injuries.  

Increased awareness of the interaction between intimate partner violence, suicidal behavior and radiologic injury patterns can better protect these vulnerable populations, according to Yang.

“Patients with a history of intimate partner violence tend to hide their circumstances out of fear, stigma, and/or distrust in the medical system,” she said. “Radiologists are possibly the only providers in a patient’s healthcare experience who can identify subtle injuries and patterns that may otherwise go unnoticed, giving voice to an often-voiceless population.”

Radiologists have a unique opportunity to uncover the hidden concerns behind injuries, according to MGH/BWH radiologist Bharti Khurana, M.D., M.B.A., associate professor at Harvard Medical School, founding director of TIRIC and principal investigator and senior author of the study.

“By recognizing recurring imaging patterns in patients experiencing intimate partner violence, especially those exhibiting suicidal behavior, we can initiate critical interventions earlier and potentially save lives,” Dr. Khurana said.

Other co-authors are Alexander Kwon, Krishna Patel, Tatiana C Rocha, M.D., Maria A. Duran-Mendicuti, M.D., and Bernard Rosner, Ph.D.

The National Institute of Biomedical Imaging and Engineering and the Office of the Director at the National Institutes of Health provided funding support for the research.

###

Note: Copies of RSNA 2025 news releases and electronic images will be available online at RSNA.org/press25.

RSNA is an association of radiologists, radiation oncologists, medical physicists and related scientists promoting excellence in patient care and health care delivery through education, research and technologic innovation. The Society is based in Oak Brook, Illinois. (RSNA.org)

For patient-friendly information on emergency imaging, visit RadiologyInfo.org.

No comments: