BRAIN STUDIES
Poor neighborhoods linked to elevated dementia risk and faster brain aging
Irrespective of income or education, people living in disadvantaged neighborhoods show early signs of cognitive decline
DUKE UNIVERSITY
DURHAM, NC – Living in a poorer neighborhood is linked to accelerated brain aging and increased dementia risk early in life, regardless of income level or education, a Duke University-led study finds.
The study, which appears March 14 in Alzheimer's & Dementia: The Journal of the Alzheimer's Association, suggests that targeting disadvantaged neighborhoods for dementia prevention programs and encouraging clinicians to consider a patient’s address could help lower dementia risk.
“If you want to prevent dementia, and you’re not asking someone about their neighborhood, you're missing information that's important to know,” said clinical neuropsychologist Aaron Reuben, Ph.D., who led the study as a postdoctoral scholar in the joint lab of Duke University psychology and neuroscience professors Avshalom Caspi, Ph.D., and Terrie Moffitt, Ph.D.
Dementia “blue zones”
Alzheimer's disease is the most common form of dementia, a neurological disorder that robs people of their memories and cognitive skills. An estimated 58 million people around the world today have dementia, which is on course to triple to 150 million by 2050.
Despite the expected rise of cases and the immense emotional and financial toll dementia takes on individuals and families, there are no cures or effective medicines.
Researchers are now looking instead to prevent rather than treat dementia through lifestyle changes, like diet and exercise.
Though opting for more vegetables or bike rides may help strengthen brain health and resilience, Reuben was curious if where people live predicts their future dementia risk better than any combination of individual choices.
“I wanted to understand if there was a geographic patterning to dementia the way there is to longevity, like blue zones,” Reuben said, referring to regions where residents appear to live longer than average. “A lot of individual choices, like what you eat, what you do for fun, or who you spend time with, are constrained by where you live.”
Poor neighborhoods beget dementia risk
Reuben and his colleagues at Duke, as well as collaborators at the University of Michigan, Michigan State University, the University of Otago (NZ), and the University of Auckland, looked at the medical records and addresses of 1.41 million New Zealanders to search for patterns.
The team looked at how well-off or disadvantaged each New Zealander’s address was on a scale from one to ten, using information from the national census on average income, employment, and education levels, as well as transportation accessibility and other related factors.
Similar to smaller-scale studies of people in the United States and England, Reuben and his team found that those residing in the most disadvantaged areas had a 43% increased risk of developing dementia over 20 years of observation.
Reuben said the finding still begged the question whether biological signs for neighborhood-associated neurodegeneration could be seen earlier in adulthood, long before people would show up in clinics with memory complaints.
Accelerated brain aging
Reuben and his team then analyzed data from the Dunedin Study, which has tracked nearly 1,000 New Zealanders since birth, documenting their psychological, social, and physiological health, including brain scans, memory tests, and cognitive self-assessments in adulthood.
Reuben found that study members living in disadvantaged neighborhoods across adulthood had measurably poorer brain health as early as age 45, regardless of their own personal income or education.
“It’s not just what personal resources you have, it’s also where you live that matters,” said Caspi.
Poorer brain health was seen across a number of measurements, such as fewer or smaller nerve cells in the brain’s information processing areas and less efficient communication between cells across the brain, as well as more atrophy and, potentially, microbleeds.
Study members living in poorer neighborhoods also had visibly older brains at 45 when the researchers looked at MRI scans, with individuals from the most disadvantaged neighborhoods having brains that appeared three years older than expected given their chronological age. They also scored worse on memory tests and reported more problems with everyday cognitive demands, like following conversations or remembering how to navigate to familiar places.
Addressing location for dementia prevention
These results indicate that living in a disadvantaged neighborhood is a risk factor for dementia, Reuben says. How poorer neighborhoods might increase someone’s risk is still unclear, but it could be the result of a number of things associated with deprived areas, such as worse air quality, lower levels of daily social interactions, higher levels of stress, and less walkability.
Combating increased dementia risk stemming from disadvantaged neighborhoods, however, may be simple and low-cost. Community-focused interventions, such as targeting dementia prevention programs to underserved neighborhoods, or developing vacant lots into pocket parks, might help direct resources where they are most needed.
For now, though, Reuben argues that just factoring in someone’s neighborhood early-on is critical to catch and curb accelerated brain aging and dementia risk.
“If you want to truly prevent dementia, you've got to start early, because 20 years before anyone will get a diagnosis, we're seeing dementia’s emergence,” Reuben said. “And it could be even earlier.”
Funding for the study was provided by the National Institutes for Health (R01AG032282, R01AG069939, R01AG049789, P30 AG028716, P30 AG034424, F32ES34238, P30AG066582), UK Medical Research Council (MR/X021149/1), New Zealand Health Research Council (15-265; 16-604), Brain Research New Zealand, New Zealand Ministry of Business, Innovation, and Employment, and the Duke/University of North Carolina Alzheimer’s Disease Research Center Research.
CITATION: “Dementia, Dementia’s Risk Factors and Premorbid Brain Structure are Concentrated in Disadvantaged Areas: National Register and Birth-Cohort Geographic Analyses,” Aaron Reuben, Leah Richmond-Rakerd, Barry Milne, Devesh Shah, Amber Pearson, Sean Hogan, David Ireland, Ross Keenan, Annchen R. Knodt, Tracy Melzer, Richie Poulton, Sandhya Ramrakha, Ethan Whitman, Ahmad R. Hariri, Terrie E. Moffitt, Avshalom Caspi. Alzheimer's & Dementia: The Journal of the Alzheimer's Association, March 14, 2024. DOI: 10.1002/alz.13727
JOURNAL
Alzheimer s & Dementia
METHOD OF RESEARCH
Observational study
SUBJECT OF RESEARCH
People
ARTICLE TITLE
Dementia, Dementia’s Risk Factors and Premorbid Brain Structure are Concentrated in Disadvantaged Areas: National Register and Birth-Cohort Geographic Analyses,
ARTICLE PUBLICATION DATE
14-Mar-2024
Cool insights: Research explores how brains perceive temperature
NIH-funded research on oral temperature perception published in neuroscience journal
UNIVERSITY OF OKLAHOMA
IMAGE:
JINRONG LI, PH.D., CHRISTIAN H. LEMON, PH.D., AND GRADUATE STUDENT KYLE ZUMPANO
view moreCREDIT: CHRISTIAN H. LEMON
Christian Lemon, Ph.D., an associate professor in the School of Biological Sciences at the University of Oklahoma, often thinks about temperature sensation and the brain when eating a chilled mint cookie. Now, research from his lab examining oral temperature perception has been published in The Journal of Neuroscience.
In their research, Lemon’s team investigates how cold receptors in the mouth are activated by cooling temperatures, how those signals are transmitted to the brain and how those transmissions are generated into a cooling sensation.
"These receptors respond to cooling temperatures but are also activated by menthol from mint plants. This feature is probably why the flavor of a mint cookie can appear enhanced when eaten cold,” he said. “While sometimes called a cold and menthol receptor, it’s technically known as TRPM8. These receptors begin to activate when temperature falls a few steps below your core body temperature.”
According to prior research, TRPM8 receptors are activated by temperatures below about 86 degrees Fahrenheit, 30 degrees Celsius, and are strongly stimulated by colder temperatures near 50 degrees Fahrenheit, 10 degrees Celsius.
"Our study found that genetically removing TRPM8 receptors in a mouse model reduced the brain's response to mild cooling in the mouth, while responses to significantly colder temperatures remained partly intact,” he said. “Interestingly, this process also impacted how the brain responded to warm temperatures. We found that without input from TRPM8 receptors, the brain's response to warmth moved down into the cool range, essentially making cooler temperatures appear as warmer by the brain’s response.”
Lemon's team theorized that the brain might be confusing, or “blurring," cooling and warming sensations when TRPM8 was silenced. To explore this idea, they precisely controlled the temperature of liquids consumed to monitor oral temperature preference behavior. These results compared how temperature messages from TRPM8 receptors in the mouth tracked along nerve fibers into the brain and influenced how the brain may interpret those signals.
“We found that the control group with intact TRPM8 receptors preferred to drink mild cool and colder fluids and avoided warmed fluids. Those without the TRPM8 receptor, however, avoided sampling both warm and mild cool fluids,” he said. “This common reaction to cool and warm temperatures agreed with the blurring of these temperature ranges we observed in the brain responses of TRPM8 silenced mice. This receptor appears to be required for the brain to correctly recognize warm temperatures inside the mouth and to distinguish them from cooling.”
Based on these findings and because temperature is such a big component of oral sensation, Lemon’s team plans to explore how temperature sensory signals from TRPM8 and other pathways affect taste and eating preferences. They believe this could help understand the role of temperature sensing in a unique health-related context.
“Combining our research findings with those from other labs and other papers will start to tell us the basics of how temperature recognition works in the brain in different settings,” he said. “There's still a lot of mysteries in the brain that we don’t understand, but the basic principles being defined in studies like ours are the building blocks to future discoveries.”
Learn more about this research through the Lemon Lab at the University of Oklahoma. The study, “Separation of oral cooling and warming requires TRPM8,” is published in The Journal of Neuroscience, DOI no. 10.1523/JNEUROSCI.1383-23.2024 and was funded by NIH grant R01 DC011579-13.
Diagram depicting the role of TRPM8
CREDIT
Christian H. Lemon
JOURNAL
JNeurosci
METHOD OF RESEARCH
Experimental study
SUBJECT OF RESEARCH
Animals
ARTICLE TITLE
Separation of Oral Cooling and Warming Requires TRPM8
ARTICLE PUBLICATION DATE
13-Mar-2024
Abnormal brain structure identified in children with developmental language problems
WASHINGTON – A rigorous analysis of numerous studies concludes that a part of the brain traditionally associated with movement is abnormal in children with developmental language impairments, according to Georgetown University Medical Center neuroscientists. The discovery has the potential to improve both the diagnosis and treatment of the language difficulties.
The researchers investigated brain abnormalities in developmental language disorder. This condition, which impacts the development of various aspects of language, is about as common as attention-deficit/hyperactivity disorder (ADHD) and dyslexia, and more prevalent than autism. The scientists found that abnormalities occurred specifically in the anterior neostriatum within the basal ganglia, a structure found deep in the brain. They describe their findings in Nature Human Behaviour on March 15.
To better understand why the language impairments occur, the researchers analyzed the results of 22 articles examining brain structures in people with the disorder, and then employed a new computational method to identify common patterns of abnormalities across the studies. They determined that the anterior neostriatum was abnormal in 100% of the studies that examined the structure, with fewer abnormalities in all other parts of the brain.
“We hope that by identifying the neural bases of developmental language difficulties we may help increase awareness of a major, but also rather unrecognized, disorder,” says the study’s lead author Michael T. Ullman, PhD, professor of neuroscience and director of the Brain and Language Laboratory at Georgetown University Medical Center. “We caution, however, that further research is necessary to understand exactly how the anterior neostriatum might lead to the language difficulties.”
Ullman says the findings underscore the potential utility of drugs that are known to improve movement impairments due to basal ganglia dysfunction, such as those that act on dopamine receptors. Interventions that encourage compensation by intact brain structures may also be useful. Additionally, basal ganglia abnormalities could potentially serve as early biomarkers of an increased likelihood of developmental language problems. Such early warning signs could trigger further diagnostic procedures, potentially leading to early therapy.
“Continuing research efforts to further understand the neurobiology of developmental language disorder, especially the role of the basal ganglia, could help the many children who are affected by these problems,” concludes Ullman.
###
In addition to Ullman, other authors at Georgetown include Mariel Pullman, Jarrett Lovelett, Xiong Jiang, and Peter Turkeltaub. Gillian Clark was at Deakin University, Melbourne, Australia. Elizabeth Pierpont is at the University of Minnesota Medical Center, Minneapolis.
This work was supported by NIH grants R01 HD049347 and R21 HD 087088; NSF grants BCS 1439290 and BCS 1940980; and funding from the Mabel H. Flory Trust.
The authors declare no personal financial interests related to the study.
About Georgetown University Medical Center
As a top academic health and science center, Georgetown University Medical Center provides, in a synergistic fashion, excellence in education — training physicians, nurses, health administrators and other health professionals, as well as biomedical scientists — and cutting-edge interdisciplinary research collaboration, enhancing our basic science and translational biomedical research capacity in order to improve human health. Patient care, clinical research and education is conducted with our academic health system partner, MedStar Health. GUMC’s mission is carried out with a strong emphasis on social justice and a dedication to the Catholic, Jesuit principle of cura personalis -- or “care of the whole person.” GUMC comprises the School of Medicine, the School of Nursing, School of Health, Biomedical Graduate Education, and Georgetown Lombardi Comprehensive Cancer Center. Designated by the Carnegie Foundation as a doctoral university with "very high research activity,” Georgetown is home to a Clinical and Translational Science Award from the National Institutes of Health, and a Comprehensive Cancer Center designation from the National Cancer Institute. Connect with GUMC on Facebook (Facebook.com/GUMCUpdate) and on Twitter (@gumedcenter).
JOURNAL
Nature Human Behaviour
METHOD OF RESEARCH
Literature review
SUBJECT OF RESEARCH
People
ARTICLE TITLE
The neuroanatomy of developmental language disorder: a systematic review and meta-analysis
ARTICLE PUBLICATION DATE
15-Mar-2024
New study reveals breakthrough in understanding brain stimulation therapies
For the first time, researchers show how the brain can precisely adapt to external stimulation
UNIVERSITY OF MINNESOTA
IMAGE:
RESEARCHERS USING NON-INVASIVE NEUROMODULATION, A TECHNIQUE THAT HAS SHOWN PROMISING RESULTS IN REDUCING SYMPTOMS OF DEPRESSION, ALZHEIMER’S DISEASE, AND PARKINSON’S DISEASE.
view moreCREDIT: OPITZ LAB, UNIVERSITY OF MINNESOTA TWIN CITIES
MINNEAPOLIS/ST. PAUL (03/15/2024) — For the first time, researchers at the University of Minnesota Twin Cities showed that non-invasive brain stimulation can change a specific brain mechanism that is directly related to human behavior. This is a major step forward for discovering new therapies to treat brain disorders such as schizophrenia, depression, Alzheimer’s disease, and Parkinson’s disease.
The study was recently published in Nature Communications, a peer-reviewed, open access, scientific journal.
Researchers used what is called “transcranial alternating current stimulation” to modulate brain activity. This technique is also known as neuromodulation. By applying a small electrical current to the brain, the timing of when brain cells are active is shifted. This modulation of neural timing is related to neuroplasticity, which is a change in the connections between brain cells that is needed for human behavior, learning, and cognition.
“Previous research showed that brain activity was time-locked to stimulation. What we found in this new study is that this relationship slowly changed and the brain adapted over time as we added in external stimulation,” said Alexander Opitz, University of Minnesota biomedical engineering associate professor. “This showed brain activity shifting in a way we didn’t expect.”
This result is called “neural phase precession.” This is when the brain activity gradually changes over time in relation to a repeating pattern, like an external event or in this case non-invasive stimulation. In this research, all three investigated methods (computational models, humans, and animals) showed that the external stimulation could shift brain activity over time.
“The timing of this repeating pattern has a direct impact on brain processes, for example, how we navigate space, learn, and remember,” Opitz said.
The discovery of this new technique shows how the brain adapts to external stimulation. This technique can increase or decrease brain activity, but is most powerful when it targets specific brain functions that affect behaviors. This way, long-term memory as well as learning can be improved. The long-term goal is to use this technique in the treatment of psychiatric and neurological disorders.
Opitz hopes that this discovery will help bring improved knowledge and technology to clinical applications, which could lead to more personalized therapies for schizophrenia, depression, Alzheimer’s disease, and Parkinson’s disease.
In addition to Opitz, the research team included co-first authors Miles Wischnewski and Harry Tran. Other team members from the University of Minnesota Biomedical Engineering Department include Zhihe Zhao, Zachary Haigh, Nipun Perera, Ivan Alekseichuk, Sina Shirinpour and Jonna Rotteveel. This study was in collaboration with Dr. Jan Zimmermann, associate professor in the University of Minnesota Medical School.
This work was supported primarily by the National Institute of Health (NIH) along with the Behavior and Brain Research Foundation and the University of Minnesota’s Minnesota’s Discovery, Research, and InnoVation Economy (MnDRIVE) Initiative. Computational resources were provided by the Minnesota Supercomputing Institute (MSI).
To read the entire research paper titled, “Induced neural phase precession through exogenous electric fields”, visit the Nature Communications website.
JOURNAL
Nature Communications
ARTICLE TITLE
Induced neural phase precession through exogenous electric field
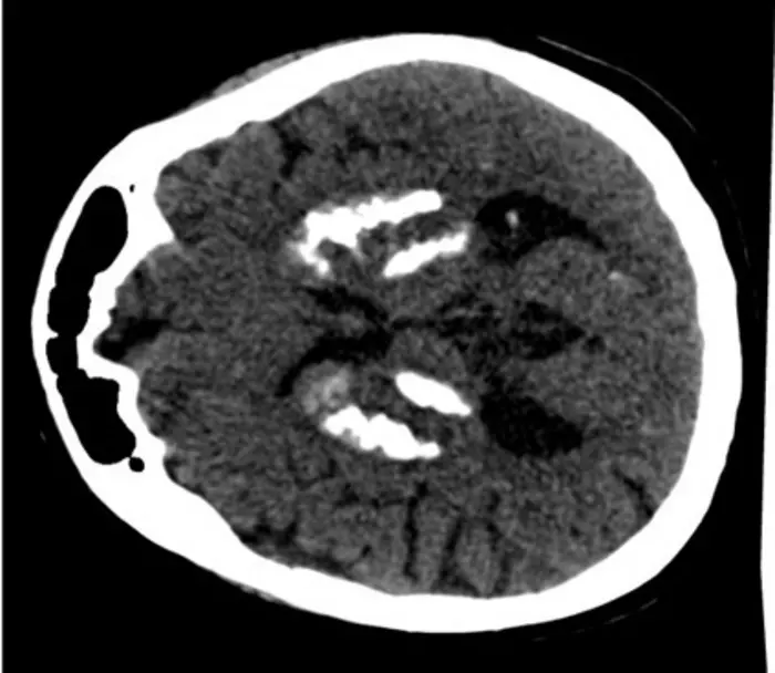
Shedding new light on brain calcification
Peer-Reviewed PublicationIMAGE:
CT SCAN OF A PATIENT WITH BRAIN CALCIFICATION. PHOTO: VIORICA CHELBAN
view moreCREDIT: PHOTO: VIORICA CHELBAN
Brain calcification can cause movement disorders and cognitive impairment. Researchers at the Arnesen Lab at UiB have now identified a gene that provides new insight into how these calcifications occur.
"Calcifications are often associated with disease states in joints or blood vessels, but it is actually also very common in the brain. Brain calcification is however less well studied", says researcher Henriette Aksnes at the Department of Biomedicine, University of Bergen, Norway.
She and several others in the Arnesen lab have taken a closer look at a specific type of brain calcification, called primary familial brain calcification (PFBC, formerly called Fahr's disease). In this rare neurodegenerative condition, progressive muscular symptoms, psychiatric symptoms and cognitive impairment occur:
"This condition is caused by pathogenic, meaning disease-causing, gene variants and entail particularly severe brain calcification", says Aksnes.
New gene linked to brain calcification
PFBC can be caused by mutations in various genes, and researchers are working to find out which ones. Now, through an international collaboration, the research group at UiB has discovered a new gene that can be linked to this disease.
The Arnesen Lab has expertise in the novel PFBC gene, NAA60, such as through the doctoral and postdoctoral work of Henriette Aksnes.
"PFBC is a very favorable model for studying brain calcifications", she explains.
Among those with a PFBC diagnosis, errors are found in various genes. There were six genes linked to the disease before the research group's work.
"Since defects in different genes cause the same disease, this indicates which molecular players are involved in the calcification process", Aksnes explains.
"By adding NAA60 to the list as the seventh gene that can cause PFBC, and linking this with our previous work, we have made a big step towards being able to explain how calcification can develop in the brain", she continues.
Large international collaboration
This important finding was shared with the scientific community as early as summer 2022 at the EMBO conference organized by the research community in Bergen.
Since then, the international team has identified additional families with different types of NAA60 variants that are associated with loss of function. The first NAA60-PFBC family was identified at University College London (UCL) by neurologists Viorica Chelban and Henry Houlden.
"During the last few years, a large international collaboration took form, to together describe a total of six different NAA60 mutations, found in ten individuals from seven families, now presented in this article", says Aksnes.
Since half of those currently diagnosed with PFBC do not have a genetic explanation, it is assumed that NAA60 may be behind additional cases. The work has now been published in the scientific journal Nature Communications.
NAA60 neuropathology - a door opener for a new research team
"The recently published article presents the new gene link and shows that the mutations cause loss of NAA60 function", says Aksnes.
The loss of function manifests itself in a lack of the NAA60 protein that is normally expressed through the gene.
"But there is still a lot of work to be done to understand the molecular processes that can explain how a lack of the NAA60 protein leads to brain disease", says the researcher.
She has been awarded a TMF starting grant to continue this exciting work as PI of a new research team.
"The work we will now undertake will be very important to better understand brain calcifications and how they are connected to dementia", she says.
The UiB researchers' work for this article was supported by funding from the European Research Council, the Norwegian Research Council and the Meltzer Foundation.
JOURNAL
Nature Communications
ARTICLE TITLE
Biallelic NAA60 variants with impaired n-terminal acetylation capacity cause autosomal recessive primary familial brain calcifications
Study identifies molecular alterations in brain tissue and blood of people who committed suicide
The findings are an important contribution to both the understanding of mental disorders and suicide prevention. More than 700,000 people take their own lives every year worldwide, according to the World Health Organization
In an article published in the journal Psychiatry Research, Brazilian scientists describe a number of molecular alterations found in the blood and brain tissue of individuals who committed suicide. According to the authors, the study aimed to identify susceptibility factors and potential targets for innovative pharmacological intervention.
More than 700,000 people take their own lives worldwide each year, according to the World Health Organization (WHO). The suicide rate is particularly alarming in the 15-29 age group, where it is the fourth-ranking cause of death. This information is valid for 2019 and was taken from the latest edition of the WHO/IHME Global Burden of Disease (GBD), an epidemiological survey covering the main causes of death and disability in more than 200 countries.
Several risk factors are associated with suicide, including family history, personality traits, socioeconomic conditions, exposure to toxic ideas on social media, and psychiatric disturbance, especially depression and bipolar disorder. “However, despite the huge psychological, social and economic impact of deaths by suicide, identification of suicide risk is based on a clinical interview. The neurobiological mechanisms associated with suicidal behavior are poorly understood. They were the focus of our study,” said neuroscientist Manuella Kaster, a professor at the Federal University of Santa Catarina (UFSC) and co-principal investigator for the study alongside Daniel Martins-de-Souza, a professor at the State University of Campinas (UNICAMP).
According to Kaster, the group reviewed and reanalyzed a large amount of data available in the literature regarding molecular alterations found in postmortem examination of blood and brain tissue from suicides. “Genes, proteins and metabolites in the samples were analyzed simultaneously and comparatively. We concluded that in complex conditions such as suicidal behavior, this kind of analysis has significant potential as a basis for identifying susceptibility factors and potential therapeutic targets,” Martins-de-Souza said.
Simply put, the molecular alterations can be interpreted as “risk markers” that point to novel pathways in neurobiology and offer strong support for the information acquired in clinical interviews. “A noteworthy finding from several of the studies reviewed is that many subjects visit a health service in the year prior to a suicide or attempted suicide, but they do not receive the kind of care that could prevent such an outcome owing to the difficulty of identifying the risk,” Kaster said.
Caibe Alves Pereira, a PhD candidate at UFSC supervised by Kaster and first author of the article, analyzed data from 17 studies on alterations in brain gene and protein expression in suicides and similar data from subjects who died from other causes. The prefrontal cortex was the most frequently mentioned brain region in these sources.
“This brain region is connected to all the centers of emotional and impulse control. It plays a key role in behavioral flexibility and decision-making. Alterations to its structure or function can be highly relevant in the context of suicidal behavior,” Kaster said.
This relevance is especially significant in the case of young people since the prefrontal cortex is one of the last brain regions to mature. Alterations to cortical plasticity due to social, cultural, psychological or other factors can have a significant impact on emotional and behavioral control in the 15-29 age group.
When the data collected in the literature review was fed into an algorithm developed by Guilherme Reis-de-Oliveira, a PhD candidate at UNICAMP supervised by Martins-de-Souza and a co-author of the article, it was possible to identify biological mechanisms and pathways associated with suicide. Alterations to inhibitory neurotransmitters were among the main changes observed. “Molecular alterations were associated above all with glial cells, such as astrocytes and microglia, which interact closely and dynamically with neurons and are fundamental to control of cellular communication, metabolism and plasticity,” Martins-de-Souza said.
The analysis also pointed to alterations to certain transcription factors (molecules responsible for regulating the expression of several genes). “These included transcription factor CREB1, which has already been widely studied for its effects on neuroplasticity and as an important target for antidepressants. However, transcription factors MBNL1, U2AF and ZEB2, which are associated with RNA splicing, formation of cortical connections and gliogenesis, have never been studied in the context of depression and suicide,” he said.
“Suicide must be taken seriously in all respects, from ideation to execution,” Kaster concluded. “We know deaths by suicide are more prevalent among males, whereas attempted suicides are more prevalent among females, but this is due to the potential lethality and aggressiveness of the means utilized, as well as behavioral differences. Suicide is an avoidable cause of death if intervention is timely. This was the main motivation for our study. The stigma of suicide should be combated, so that a profound and broad understanding can be had of its various biological, social and cultural aspects, particularly the mechanisms involved in these behavioral alterations.”
The study was supported by FAPESP via three projects (17/25588-1, 18/01410-1 and 19/25957-2).
About São Paulo Research Foundation (FAPESP)
The São Paulo Research Foundation (FAPESP) is a public institution with the mission of supporting scientific research in all fields of knowledge by awarding scholarships, fellowships and grants to investigators linked with higher education and research institutions in the State of São Paulo, Brazil. FAPESP is aware that the very best research can only be done by working with the best researchers internationally. Therefore, it has established partnerships with funding agencies, higher education, private companies, and research organizations in other countries known for the quality of their research and has been encouraging scientists funded by its grants to further develop their international collaboration. You can learn more about FAPESP at www.fapesp.br/en and visit FAPESP news agency at www.agencia.fapesp.br/en to keep updated with the latest scientific breakthroughs FAPESP helps achieve through its many programs, awards and research centers. You may also subscribe to FAPESP news agency at http://agencia.fapesp.br/subscribe.
JOURNAL
Psychiatry Research
ARTICLE TITLE
Depicting the molecular features of suicidal behavior: a review from an “omics” perspective
No comments:
Post a Comment