Global Virus Network issues scientific guidance on new COVID-19 variant NB.1.8.1 and vaccine protection
Scientific collaboration, accurate public communication, and continued investment in prevention tools are critical in navigating the evolving COVID-19 landscape
Global Virus Network
The Global Virus Network (GVN) is closely monitoring the emergence of a newly identified SARS-CoV-2 variant, NB.1.8.1, a sublineage of the Omicron family. This variant was first identified in January 2025 and has rapidly spread across Asia and into other regions, including parts of the United States. The World Health Organization (WHO) has designated NB.1.8.1 as a Variant Under Monitoring due to its increasing prevalence and potential public health implications. Based on current evidence, GVN advises vigilance, not alarm, and reinforces the critical role of vaccination in preventing severe disease and death.
Similar to previous Omicron subvariants, NB.1.8.1 contains spike protein mutations associated with increased transmissibility. However, no evidence suggests that NB.1.8.1 causes more severe illness or significantly evades vaccine-induced or natural immunity. Early laboratory and clinical data indicate that updated COVID-19 vaccines, including bivalent and XBB-based boosters, protect against severe outcomes such as hospitalization and death. There is no evidence at this time that NB.1.8.1 causes more severe illness than previous variants.
Breakthrough infections may occur, particularly among individuals with waning immunity or those who are unvaccinated. Nevertheless, vaccines remain highly effective in reducing serious illness and death. Antiviral treatments such as nirmatrelvir/ritonavir (Paxlovid) and remdesivir demonstrate efficacy against a range of Omicron subvariants, including BQ.1, BQ.1.1, and XBB.1.5.
NB.1.8.1 has been linked to significant increases in COVID-19 cases across several countries. According to the WHO, as of May 18, 2025, the NB.1.8.1 variant has been identified in 22 countries, accounting for 10.7% of global SARS-CoV-2 sequences submitted to the Global Initiative on Sharing All Influenza Data (GISAID) during epidemiological week 17 (April 21–27, 2025). This marks a significant increase from 2.5% four weeks prior.
As of June 4, 2025, India reported 4,302 active COVID-19 infections, with nearly 300 new cases recorded within the previous 24 hours. States such as Delhi, Uttar Pradesh, West Bengal, Gujarat, and especially Kerala have experienced a steady rise in cases. During the week of April 27 to May 3, 2025, nearly 6,000 individuals in Taiwan sought medical assistance at hospitals due to COVID-19-related symptoms. This marked a 78% increase from the previous week and represented the fourth consecutive week of rising case numbers. As of early June 2025, in the U.S., more than a dozen cases of the NB.1.8.1 subvariant have been identified in Washington State. The variant was first detected in the U.S. between late March and early April through routine screenings of international travelers at airports in California, Washington State, Virginia, and New York. Subsequent cases have been reported in Ohio, Rhode Island, and Hawaii. In the U.S., there have been about 300 deaths per week from COVID-19 in 2025 through May. Periodic summer surges are anticipated, consistent with seasonal patterns observed in previous years.
GVN Supports the Following COVID-19 Vaccine Recommendations:
- Adults aged 65 and older, and individuals with underlying conditions, should receive an updated COVID-19 booster tailored to circulating variants.
- All individuals 6 months and older, including children and adolescents, are encouraged to stay current with vaccinations, especially ahead of the fall and winter respiratory seasons.
- Children 6 months to 17 years of age should receive an age-appropriate, updated COVID-19 vaccine dose if they have not already done so within the past year, as protection from earlier vaccines may wane over time. Pediatric vaccination helps prevent severe outcomes, including hospitalization and multisystem inflammatory syndrome in children (MIS-C).
- Pregnant individuals are strongly encouraged to stay current on COVID-19 vaccination. Vaccination during pregnancy reduces the risk of COVID-19 hospitalization in infants by 61% and protects newborns for up to six months after birth—an especially important window given the high rate of emergency department visits for COVID-19 among infants. Studies have consistently shown that infection during pregnancy increases the risk of preterm birth, miscarriage, fetal death, and long-term neurodevelopmental issues. No safety concerns have been identified regarding vaccination in pregnancy or neonatal outcomes.
- Those not receiving a COVID-19 booster in the past year should consult a healthcare provider about updated vaccine timing and eligibility.
- Co-administration of COVID-19 and influenza vaccines is recommended when appropriate.
- Side effects from both COVID-19 and influenza vaccines are rare, and the cost-benefit of vaccination is heavily in favor of vaccination.
- The principal benefits of vaccination are preventing severe disease, rather than preventing infection itself.
The rapid global spread of NB.1.8.1 underscores the ongoing need for proactive surveillance, timely data sharing, and pandemic preparedness. The appearance of new variants is expected and does not signal a public health emergency. Instead, it is a call to action for continued scientific vigilance and proactive health measures.
GVN reiterates that this is an opportunity to prepare, not a reason to panic. Scientific collaboration, accurate public communication, and continued investment in prevention tools will remain critical in navigating the evolving COVID-19 landscape.
Media Contact:
Nora Samaranayake
###
About the Global Virus Network
The Global Virus Network (GVN) is a worldwide coalition comprising 80+ Virology Centers of Excellence and Affiliates across 40+ countries, whose mission is to facilitate pandemic preparedness against viral pathogens and diseases that threaten public health globally. GVN advances knowledge of viruses through (i) data-driven research and solutions, (ii) fostering the next generation of virology leaders, and (iii) enhancing global resources for readiness and response to emerging viral threats. GVN provides the essential expertise required to discover and diagnose viruses that threaten public health, understand how such viruses spread illnesses, and facilitate the development of diagnostics, therapies, and treatments to combat them. GVN coordinates and collaborates with local, national, and international scientific institutions and government agencies to provide real-time virus informatics, surveillance, and response resources and strategies. GVN's pandemic preparedness mission is achieved by focusing on Education & Training, Qualitative & Quantitative Research, and Global Health Strategies & Solutions. The GVN is a non-profit 501(c)(3) organization. For more information, please visit www.gvn.org
Critical step in COVID viral infection identified
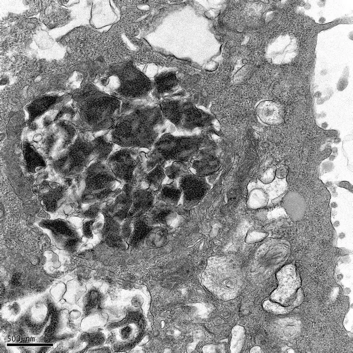
image:
This transmission electron microscopy image shows 3a dense bodies (3DBs), the darkest parts of the image, inside a cell infected with SARS-CoV-2. 3DBs play a critical role regulating the processing of the virus’s spike protein, before the spike protein is assembled into complete viral particles.
view moreCredit: Jueqi Chen/University of Chicago
Researchers at Texas Biomedical Research Institute and University of Chicago have uncovered a mechanism that SARS-CoV-2, the virus that causes COVID-19, uses to protect itself inside the body as it works to replicate and infect more cells. Without this protective mechanism, viral infection is dramatically reduced.
The finding, published in Nature Communications, not only provides a potential target for new COVID-19 therapies but also offers insights that could inform future vaccine and antiviral development. The study builds on earlier work from Texas Biomed that identified the viral proteins that are most important for the virus’s pathogenicity, or ability to cause disease.
“In 2021, we found that the accessory protein ORF3a is one of the most important proteins for the virus and when we knock it out, the virus becomes much less harmful – but we didn’t know why,” said Texas Biomed Staff Scientist Chengjin Ye, Ph.D. “Now, working together with our collaborators at University of Chicago, we understand the mechanism.”
A dense security detail
Specifically, SARS-CoV-2 ORF3a appears to play a vital role in protecting structural proteins, most notably the spike protein that facilitates spread into other cells, as they are assembled on the surface of viral particles. It does this by driving the formation of a dense group of proteins that surround the spike protein and provide protection while in transit, much like security detail protecting a person or an armored vehicle carrying cash to the bank.
The team in Chicago, led by Assistant Professor Jueqi Chen, Ph.D., termed these protective complexes “3a dense bodies” or 3DBs for short.
It appears that 3DBs help prevent the spike protein from being cut into smaller components. When ORF3a is missing, these 3DBs fail to form, and the spike protein often arrives damaged, severely impairing the nascent virus’s ability to infect new cells.
“ORF3a could therefore be a good target for drugs to block the virus,” said Texas Biomed Professor Luis Martinez-Sobrido, Ph.D. “This discovery could also be instrumental for vaccine development, as we illustrated previously.”
A surprise evolution
Since the ORF3a gene is present in other coronaviruses, the team was curious if those viruses also sparked the formation of 3DBs. They found that 3DBs are formed by related coronaviruses carried by bats and pangolins. However, it was surprising to find that SARS-
CoV and coronaviruses found in civets do not, which could help explain the lower transmission and infection rates during the 2003 SARS outbreak compared to the COVID-19 pandemic. About 8,000 people were infected with SARS, while there are more than 770 million reported COVID-19 cases, according to the World Health Organization.
The research is a good example of multidisciplinary collaboration: Dr. Chen’s expertise in cellular biology and high-resolution microscopy complemented the virology and virus engineering experience of Drs. Ye and Martinez-Sobrido.
“After identifying the 3DB structures and pinpointing the ORF3a parts residues critical for 3DB assembly, we collaborated with Drs. Ye and Martinez-Sobrido to engineer an attenuated virus lacking the ability to form 3DB,” said Dr. Chen. “Coronaviruses have the largest genomes among RNA viruses and therefore the reverse genetics expertise of Drs. Ye and Martinez-Sobrido was critical for the functional studies of 3DB during infection.”
Next steps
Now that they have identified why ORF3a is so important, the two labs would like to dig deeper and figure out what is breaking apart the spike protein when left unprotected, which could reveal another avenue for therapeutic development. They would also like to study other SARS-CoV-2 variants to see if mutations in the ORF3a gene affect 3DB formation and infection rates.
###
Paper:
Hartmann, S., Radochonski, L., Ye, C. et al. SARS-CoV-2 ORF3a drives dynamic dense body formation for optimal viral infectivity. Nat Commun 16, 4393 (2025). https://doi.org/10.1038/s41467-025-59475-x
About Texas Biomed
Texas Biomed is a nonprofit research institute dedicated to protecting the global community from infectious diseases. Through basic research, preclinical testing and innovative partnerships, we accelerate diagnostics, therapies and vaccines for the world’s deadliest pathogens. Our San Antonio campus hosts high containment laboratories and the Southwest National Primate Research Center. Our scientists collaborate with industry and researchers globally, and have helped deliver the first COVID-19 vaccine, the first Ebola treatment and first Hepatitis C therapy.
Journal
Nature Communications
Article Title
SARS-CoV-2 ORF3a drives dynamic dense body formation for optimal viral infectivity
Health care workforce recovery after the end of the COVID-19 emergency
JAMA Network
About The Study:
Health care employment growth decreased amid the pandemic but fully recovered by 2024. This recovery contrasts with non–health care employment trends and may result from health care financing via insurance coverage shielding health care employment from macroeconomic fluctuations.
Corresponding Author: To contact the corresponding author, Thuy Nguyen, PhD, email thuydn@umich.edu.
To access the embargoed study: Visit our For The Media website at this link https://media.jamanetwork.com/
(doi:10.1001/jama.2025.8588)
Editor’s Note: Please see the article for additional information, including other authors, author contributions and affiliations, conflict of interest and financial disclosures, and funding and support.
# # #
Embed this link to provide your readers free access to the full-text article
Journal
JAMA
Longitudinal outcomes of the COVID-19 pandemic on youth physical fitness
JAMA Network Open
About The Study: In this cohort study of schools, a COVID-19–related decline in youth physical fitness was observed. Compared with pre-pandemic and post-pandemic periods, cardiorespiratory fitness and musculoskeletal fitness healthy fitness zone achievement were significantly lower during the pandemic, but the reduction did not appear to be associated with extended remote or hybrid environments.
Corresponding Author: To contact the corresponding author, Andjelka Pavlovic, PhD, email andjelka.pavlovic@ttuhsc.edu.
To access the embargoed study: Visit our For The Media website at this link https://media.jamanetwork.com/
(doi:10.1001/jamanetworkopen.2025.13721)
Editor’s Note: Please see the article for additional information, including other authors, author contributions and affiliations, conflict of interest and financial disclosures, and funding and support.
# # #
Embed this link to provide your readers free access to the full-text article
About JAMA Network Open: JAMA Network Open is an online-only open access general medical journal from the JAMA Network. On weekdays, the journal publishes peer-reviewed clinical research and commentary in more than 40 medical and health subject areas. Every article is free online from the day of publication.
Journal
JAMA Network Open
No comments:
Post a Comment